診療案内

HOME | 診療案内

SYMPTOM

こんな症状でお悩みでありませんか

当院は神経系の専門クリニックです。頭痛やめまい、顔のしびれや痛み、てんかんやけいれん、肩こりや腰痛、手足のしびれや震え、物忘れや記憶障害や意識障害、頭部打撲など、気になる症状がございましたら、何なりとお申し出下さい。

頭を打って出血した

頭を打って
出血した
頭が痛い
頭を打って気持ちが悪い
ふらふらする
ボーッとする 

頭痛

様々な頭の痛み
突然の激しい頭痛
慢性の締め付けられる様な頭痛
脈打つ様な頭痛など
目の奥の痛み
虫歯治療後もなお残る歯の痛み 

手のしびれや痛み

後頭部や首筋にかけてのはりや痛み
手、腕のしびれや痛み

たちくらみ めまい

立ちくらみやめまい
耳鳴りなど
平衡感覚の異常(まっすぐ歩けないなど) 

口や顔の痛みやしびれ

顔や口の周りの痛みやけいれんなど
顔の半分のしびれや麻痺 

腰やお尻の痛みやしびれ

腰またはお尻の痛み(慢性的な痛み、しびれ、違和感など)
太ももからふくらはぎの痛み、しびれ(足首が上がらない、足の親指が上がらないなど) 

目が悪くなった

物忘れが激しい
手足が震える
だるい(無気力・疲れやすい)
目がぼやける
物が二重に見える
目が悪くなったなど 

脳ドック・各種ドック

 

脳ドック・各種ドックの予約、費用について

ご希望の時間を受付に「脳ドック・各種ドック希望」とお伝えの上お申し込みください。日時を調整させて頂きます。なお、脳ドック・各種ドックは自由診療ですので、保険適応にはならず、全額自己負担となります。
尚、何らかの症状がある場合は保険診療となりますので、通常の診察の予約をお取り頂くことをお勧めします。

SERVICE

MRIドックのご案内

当クリニックでは脳神経外科領域の診療の他にMRIを用いた様々な検診メニューをご用意いたしました。『病状はなく病院へ行くほどではないけれど何か気になる』『ご自身の体の状態を正確に知りたい』などの場合にお役に立てる事と存じます。
 

検診内容

病気の早期発見のために、最新のMRIを用いた本格的な検診。

大病院などで用いられている最新のMRIを使用し、精度の高い結果を得、かつ痛みや不快感を極力排除することを可能にしました。
 

検診結果

来院は受診日のみ、結果は郵送にて迅速に。

検査画像は、豊富な経験を持つ専門性の高い読影医が担当し、読みやすく質の高いレポートとしてご提供します。また、ご要望に応じて、医師の説明を受けながら、自分の目で検査の画像を確認し、現在の健康の状態を理解して頂くことも出来ます。
 

治療

検診だけでなく、治療が必要になったときも対応。

検診と治療を同じフィールドとしてとらえ、多くの医療機関のバックアップを得て、要精密検査、要治療時になどに万全の環境づくりをしております。

頭部MRIのフィルム

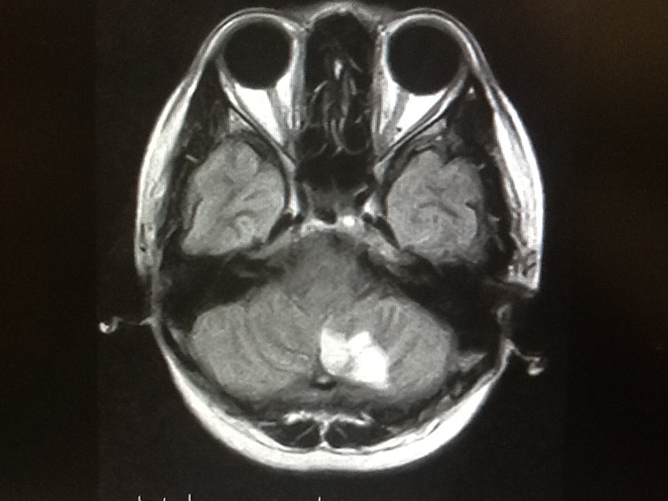
脳MRI画像

1|脳MRIドック

自覚症状がない方にも脳梗塞が生じている場合があります。この検査は痛みを伴わずに脳梗塞の有無と大きさ、場所、そしてまれに発見される脳腫瘍の有無や脳の萎縮などをチェックする検査です。

所要時間:30分  費用:22000円(消費税込み)



脳MRA画像

2|脳及び頚部MRA検査(脳MRIドックオプション)

脳動脈瘤は、くも膜下出血の原因であることが知られています。この検査は脳動脈瘤の有無と大きさ、場所、脳梗塞の原因である脳血管や首の血管(頸動脈)の狭窄をチェックする検査です。

所要時間:30分  費用:22000円(消費税込み)
 


レディースMRI画像

 

3|レディースMRIドック

生理痛や貧血などの原因となる子宮筋腫や子宮内膜症、がんの発生しやすい子宮体部や、のう腫やがんが発生しやすい卵巣を無痛で、着衣のまま、エックス線照射なしでチェックします。

所要時間:30分  費用:22000円(消費税込み)



頚椎MRI画像


4|頚椎MRIドック

頸部痛や手のしびれの原因となる頸椎椎間板ヘルニアや頸部脊柱管狭窄症などが発生する頸椎を無痛でチェックします。

所要時間:30分  費用:22000円(消費税込み)


腰椎MRI画像


5|腰椎MRIドック

坐骨神経痛や腰痛の原因となる腰椎椎間板ヘルニアや腰部脊柱管狭窄症などが発生する腰椎を無痛でチェックします。

所要時間:30分  費用:22000円(消費税込み)


前立腺MRI

6|前立腺MRIドック

自覚症状の無いまま進行しがちで、かつ、ついつい検査を受けずにしてしまいがちな前立腺を、他の検査に比べて身体的な負担が少ない無痛のMRIでチェックします。

所要時間:30分  費用:22000円(消費税込み)


血管年齢検査

7|血管年齢検査

四肢の血圧を同時に測定することで、動脈硬化の程度(いわゆる血管年齢)の程度や早期血管障害(下肢動脈閉塞症など)を検出することが出来ます。

所要時間:15分  費用:3300円(消費税込み)


診察時間のご案内

診察時間
9:30-12:30 9:30-13:30
14:30-18:30 14:30-19:00

休診日 木曜・日曜・祝日

午前 9:30~12:30(土曜日は13:30まで)
午後 14:30~18:30(水曜日は19:00まで、土曜午後休診) 

 

 
受付終了時刻は診察終了時刻の30分前までです。
予約優先制としておりますので、当日の診察をご希望の場合でもネット又はお電話でご予約下さいます様お願い申し上げます。

ACCESS